
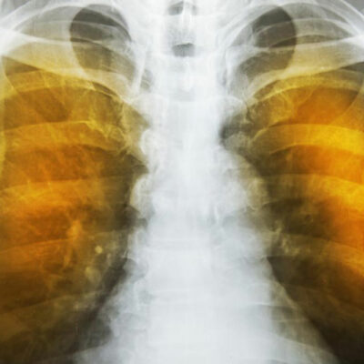
What is emphysema and what are its complications?
Emphysema is an oppressive respiratory disorder which results from the disintegration of the alveoli, i.e., the tissues where the interchange of gas with blood takes place. Destruction in any large scale will reduce the gas transfer area and the process of gas transfer itself, leading to oxygen starvation or hypoxia.
Read More 







